602-649-2089

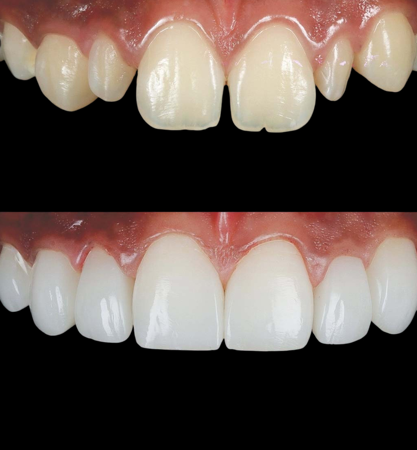
Transform Your Smile With Cosmetic Bonding
- Fixing small gaps between teeth
- Lengthening short teeth
- Hiding dark stains
- Reducing the visibility of rotated teeth
- Brightening and whitening teeth
During your visit, our team will apply a resin directly to your tooth and shape, mold, and polish it to seamlessly blend with your natural tooth – but even better!
Curious if cosmetic bonding could enhance your smile? Contact Gold Star Dental Station to schedule a consultation. We will address all your inquiries and have you looking and feeling your best in no time.
Dental Bonding Benefits
Dental Bonding Procedure
To begin the dental bonding process, we will first match the color of your teeth with the composite material that will be used. Then, we will gently file and roughen the surface of the tooth where the material will be applied. A bonding gel will be carefully applied and rinsed off. After that, the composite material will be placed over the tooth and smoothed out. To ensure its stability, we will use a bright light to cure the composite. Any necessary adjustments will be made before you leave our office. Dental bonding has the incredible ability to completely transform your smile, seamlessly blending in so that it becomes virtually undetectable. If you believe dental bonding could be beneficial for you, please do not hesitate to contact us today. We are available to answer any questions you may have.